El ictus, que es la primera causa de dependencia en adultos de nuestro medio, y la segunda de mortalidad (la primera en mujeres), se define como una alteración brusca de la circulación en el sistema nervioso central, que puede ser de dos tipos:
- Isquemia: Disminución en la llegada de sangre a una zona concreta del sistema nervioso, habitualmente por interposición de un trombo (coágulo que se forma localmente) o émbolo (coágulo u otro elemento físico que se genera en otra localización y circula por el torrente sanguíneo hasta ocluir una arteria). Esta a su vez puede ser:
-
- Transitoria, cuando los sistemas fisiológicos de emergencia “responden” a tiempo, reinstaurando el flujo sanguíneo y resolviéndose los síntomas de forma espontánea y sin dejar lesión cerebral permanente. Es el llamado accidente isquémico transitorio (AIT), y supone una verdadera oportunidad de estudiar lo acontecido para evitar una repetición de la isquemia que pudiera resultar irreversible en un futuro próximo.
- Definitiva, cuando la situación se prolonga el tiempo suficiente para producir una lesión irreversible, es decir, un infarto, que representa la “muerte” del tejido nervioso afectado.
- Hemorragia cerebral: Ruptura de un vaso ubicado en el sistema nervioso central, con el consiguiente “derrame” de la sangre sobre dicho tejido nervioso.
Suele presentarse con síntomas típicos, como una desviación brusca de boca, una dificultad súbita para hablar o para mover una parte del cuerpo, o una pérdida visual aguda que afecte a un ojo o a una parte del campo visual. Pero en otras ocasiones, los síntomas son menos habituales, lo que incrementa la dificultad diagnóstica y puede demorar su reconocimiento y con ello su prevención o tratamiento.
En todos los casos, su atención temprana es la clave para reducir las secuelas, que de lo contrario pueden ser dramáticas. Y es que existe la posibilidad de una adecuada prevención que, cuanto menos, minimice el riesgo de sufrir un primer ictus o un ictus recurrente. Hay que tener en cuenta que, si algunas personas tienen la suerte de salir sin o con escasas secuelas de un primer evento vascular cerebral, la probabilidad de salir airoso de un segundo evento es muy baja. Es en la prevención de esta patología donde el neurólogo experto en ictus desempeña un papel diferendiador, optimizando la estrategia de prevención tras detectar los mecanismos por los que puede producirse (o se ha producido) un ictus en una determinada persona, y reduciendo al mínimo posible la probabilidad de un evento fatal. Cuando por desgracia dichas secuelas no han podido evitarse, debemos recurrir a los recursos farmacológicos y terapéuticos oportunos para minimizarlos (destacando aquí las terapias de rehabilitación, terapia ocupacional y logopedia).
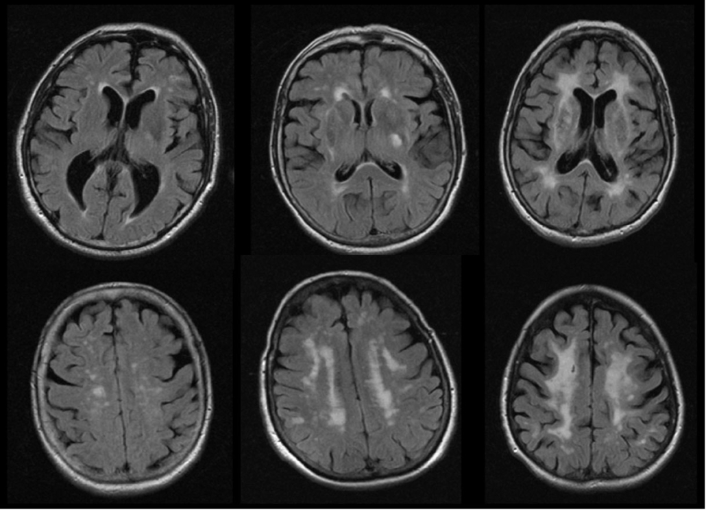
Más allá del ictus entendido como evento clínico reconocible por los mencionados síntomas, es también frecuente la detección de pequeñas lesiones cerebrales vasculares “silentes”, es decir, crónicas, que no han dado síntomas claros jamás, pero que se detectan por casualidad en alguna prueba de imagen cerebral que se indica por algún motivo coyuntural (por ejemplo, para descartar lesiones traumáticas tras un accidente). En este grupo se encuentran los coloquialmente llamados “microinfartos”. Aunque su repercusión suele ser menor a la de un ictus, su acumulación puede producir ciertos problemas, por ejemplo, de memoria, de manejo en la vida diaria o en el trabajo, o de destreza motriz, en las personas que los sufren. Es aquí donde, nuevamente, aclarar su origen y tomar las medidas para detener su aparición resultan claves para evitar la progresión de estos problemas o incluso que finalmente acontezca un ictus en un futuro próximo.
El ictus, que es la primera causa de dependencia en adultos de nuestro medio, y la segunda de mortalidad (la primera en mujeres), se define como una alteración brusca de la circulación en el sistema nervioso central, que puede ser de dos tipos:
- Isquemia: Disminución en la llegada de sangre a una zona concreta del sistema nervioso, habitualmente por interposición de un trombo (coágulo que se forma localmente) o émbolo (coágulo u otro elemento físico que se genera en otra localización y circula por el torrente sanguíneo hasta ocluir una arteria). Esta a su vez puede ser:
-
- Transitoria, cuando los sistemas fisiológicos de emergencia “responden” a tiempo, reinstaurando el flujo sanguíneo y resolviéndose los síntomas de forma espontánea y sin dejar lesión cerebral permanente. Es el llamado accidente isquémico transitorio (AIT), y supone una verdadera oportunidad de estudiar lo acontecido para evitar una repetición de la isquemia que pudiera resultar irreversible en un futuro próximo.
- Definitiva, cuando la situación se prolonga el tiempo suficiente para producir una lesión irreversible, es decir, un infarto, que representa la “muerte” del tejido nervioso afectado.
- Hemorragia cerebral: Ruptura de un vaso ubicado en el sistema nervioso central, con el consiguiente “derrame” de la sangre sobre dicho tejido nervioso.
Suele presentarse con síntomas típicos, como una desviación brusca de boca, una dificultad súbita para hablar o para mover una parte del cuerpo, o una pérdida visual aguda que afecte a un ojo o a una parte del campo visual. Pero en otras ocasiones, los síntomas son menos habituales, lo que incrementa la dificultad diagnóstica y puede demorar su reconocimiento y con ello su prevención o tratamiento.
En todos los casos, su atención temprana es la clave para reducir las secuelas, que de lo contrario pueden ser dramáticas. Y es que existe la posibilidad de una adecuada prevención que, cuanto menos, minimice el riesgo de sufrir un primer ictus o un ictus recurrente. Hay que tener en cuenta que, si algunas personas tienen la suerte de salir sin o con escasas secuelas de un primer evento vascular cerebral, la probabilidad de salir airoso de un segundo evento es muy baja. Es en la prevención de esta patología donde el neurólogo experto en ictus desempeña un papel diferendiador, optimizando la estrategia de prevención tras detectar los mecanismos por los que puede producirse (o se ha producido) un ictus en una determinada persona, y reduciendo al mínimo posible la probabilidad de un evento fatal. Cuando por desgracia dichas secuelas no han podido evitarse, debemos recurrir a los recursos farmacológicos y terapéuticos oportunos para minimizarlos (destacando aquí las terapias de rehabilitación, terapia ocupacional y logopedia).
Más allá del ictus entendido como evento clínico reconocible por los mencionados síntomas, es también frecuente la detección de pequeñas lesiones cerebrales vasculares “silentes”, es decir, crónicas, que no han dado síntomas claros jamás, pero que se detectan por casualidad en alguna prueba de imagen cerebral que se indica por algún motivo coyuntural (por ejemplo, para descartar lesiones traumáticas tras un accidente). En este grupo se encuentran los coloquialmente llamados “microinfartos”. Aunque su repercusión suele ser menor a la de un ictus, su acumulación puede producir ciertos problemas, por ejemplo, de memoria, de manejo en la vida diaria o en el trabajo, o de destreza motriz, en las personas que los sufren. Es aquí donde, nuevamente, aclarar su origen y tomar las medidas para detener su aparición resultan claves para evitar la progresión de estos problemas o incluso que finalmente acontezca un ictus en un futuro próximo.
